Viêm nha chu và những điều bạn cần biết
VIÊM NHA CHU VÀ NHỮNG ĐIỀU BẠN CẦN BIẾT
Viêm nha chu là một bệnh lý răng miệng khá phổ biến với người Việt. Bản chất viêm nha chu là một bệnh nhiễm trùng nướu răng nghiêm trọng làm tổn thương mô mềm và nếu không điều trị, có thể phá hủy xương nâng đỡ răng của bạn. Viêm nha chu có thể làm lung lay răng hoặc dẫn đến mất răng.
Viêm nha chu là gì?
Các triệu chứng trong giai đoạn đầu của bệnh viêm nha chu thường khó có thể nhận thấy. Nhưng các nha sĩ và chuyên gia nha khoa sẽ luôn là những người đầu tiên chỉ ra chúng. Phần lợi khỏe mạnh thường có màu hồng, chắc chắn và bám đều vào răng, nhưng nếu lợi của bạn có những vấn đề dưới đây thì chắc chắn đây là những triệu chứng của viêm nha chu, các triệu chứng này có phần tương tự với bệnh viêm lợi.
Viêm nha chu là một bệnh lý răng miệng khá phổ biến với người Việt. Bản chất viêm nha chu là một bệnh nhiễm trùng nướu răng nghiêm trọng làm tổn thương mô mềm và nếu không điều trị, có thể phá hủy xương nâng đỡ răng của bạn. Viêm nha chu có thể làm lung lay răng hoặc dẫn đến mất răng.
Viêm nha chu là gì?
Viêm nha chu là bệnh phổ biến nhưng phần lớn có thể phòng ngừa được. Đó thường là kết quả của việc vệ sinh răng miệng kém. Đánh răng ít nhất hai lần một ngày, dùng chỉ nha khoa hàng ngày và kiểm tra răng miệng thường xuyên có thể cải thiện đáng kể quá trình chữa bệnh và điều trị thành công bệnh viêm nha chu , bên cạnhđó cũng có thể làm giảm khả năng phát triển bệnh.
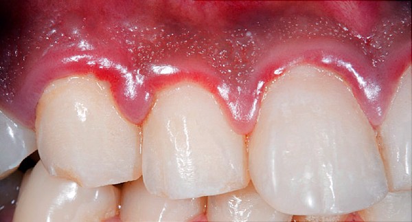
Triệu chứng của viêm nha chu
Các triệu chứng trong giai đoạn đầu của bệnh viêm nha chu thường khó có thể nhận thấy. Nhưng các nha sĩ và chuyên gia nha khoa sẽ luôn là những người đầu tiên chỉ ra chúng. Phần lợi khỏe mạnh thường có màu hồng, chắc chắn và bám đều vào răng, nhưng nếu lợi của bạn có những vấn đề dưới đây thì chắc chắn đây là những triệu chứng của viêm nha chu, các triệu chứng này có phần tương tự với bệnh viêm lợi.
Triệu chứng của viêm nha chu
Các triệu chứng trong giai đoạn đầu của bệnh viêm nha chu thường khó có thể nhận thấy. Nhưng các nha sĩ và chuyên gia nha khoa sẽ luôn là những người đầu tiên chỉ ra chúng. Phần lợi khỏe mạnh thường có màu hồng, chắc chắn và bám đều vào răng, nhưng nếu lợi của bạn có những vấn đề dưới đây thì chắc chắn đây là những triệu chứng của viêm nh- Lợi bị sưng hoặc phồng, lợi có màu đỏ thẫm hơn.
- Có cảm giác lợi bị mềm ra khi chạm vào.
- Chảy máu lợi.
- Bị chảy máu khi đánh răng hoặc khi dùng chỉ nha khoa.
- Cảm giác đau khi ăn nhai.
- Hôi miệng.
- Lợi bị tụt khỏi răng.
Nguyên nhân gây ra viêm nha chu
Những người khỏe mạnh bình thường có hàng trăm loại vi khuẩn khác nhau trong miệng. Hầu hết chúng vô hại và có những vai trò khác nhau trong hệ sinh thái bên trong khoang miệng của chúng ta. Khi bạn không vệ sinh răng miệng đúng cách hàng ngày, vi khuẩn có hại sẽ phát triển và tích tụ trên răng.
Viêm nha chu thường do vệ sinh răng miệng kém. Khi bạn không đánh răng và làm sạch ở những vị trí khó tiếp cận trong miệng, những điều sau đây sẽ xảy ra:
Vi khuẩn trong miệng của bạn sinh sôi và tạo thành một chất được gọi là mảng bám răng.
Nếu bạn không loại bỏ mảng bám bằng cách đánh răng, vi khuẩn sẽ tích tụ khoáng chất trong mảng bám theo thời gian.
Khoáng chất này được gọi là cao răng, sẽ thúc đẩy sự phát triển của vi khuẩn về phía chân răng.
Phản ứng miễn dịch của cơ thể đối với sự phát triển của vi khuẩn này dẫn đến viêm lợi của bạn.
Sự gắn kết của lợi vào chân răng bị gián đoạn theo thời gian và có thể hình thành một túi nha chu (khoảng trống) giữa lợi và chân răng.
Vi khuẩn kỵ khí có hại khu trú trong túi và sinh sôi, giải phóng các chất độc có thể làm tổn thương nướu, răng và cấu trúc xương nâng đỡ.
Bên cạnh vấn đề trên, có những nguyên nhân khác gây ra viêm nha chu có thể biết đến như:
- Hút thuốc lá, là một trong những yếu tố nguy cơ lớn nhất của bệnh viêm nha chu
- Bệnh tiểu đường loại 2
- Béo phì
- Thay đổi nội tiết tố ở phụ nữ (chẳng hạn như khi có kinh nguyệt, mang thai hoặc mãn kinh), có thể làm cho nướu nhạy cảm hơn
- Các tình trạng ảnh hưởng đến hệ thống miễn dịch của bạn, như HIV hoặc bệnh bạch cầu
- Tác dụng phụ của một số loại thuốc làm giảm lưu lượng nước bọt trong miệng của bạn
- Di truyền học
- Dinh dưỡng kém, đặc biệt là vấn đề thiếu hụt vitamin C.
Phòng ngừa viêm nha chu
Viêm nha chu có thể được phòng tránh rất dễ dàng và không ảnh hưởng tới thói quen sinh hoạt cũng như ăn uống của bạn. Việc phòng tránh viêm nha chu chủ yếu tập trung vào loại bỏ mảng bám và vi khuẩn bám trên răng và nướu của bạn.
Thực hành vệ sinh răng miệng đúng cách và thường xuyên
Các chuyên gia nha khoa của bạn sẽ hướng dẫn bạn cách giảm số lượng vi khuẩn trong miệng, liên quan đến việc giữ cho răng và nướu của bạn sạch sẽ. Nha sĩ sẽ cho bạn lời khuyên về cách sử dụng bàn chải và chỉ nha khoa đúng cách, đồng thời có thể giới thiệu các sản phẩm vệ sinh răng miệng khác như nước súc miệng, tăm nước và chỉ nha khoa.
Dưới đây là một số cách để giữ cho răng của bạn khỏe mạnh:
Đánh răng hai lần một ngày với kem đánh răng có fluor.
Cân nhắc sử dụng bàn chải đánh răng điện, có thể hiệu quả hơn.
Dùng chỉ nha khoa ít nhất một lần một ngày để loại bỏ mảng bám.
Đến nha sĩ của bạn ít nhất hai lần một năm để chăm sóc răng miệng.
Không hút thuốc hoặc nhai thuốc lá.
------------------------------------------------------------------------------------
Viêm nha chu là một bệnh lý về răng rất phổ biến với người Việt Nam. Một thực trạng đáng lo ngại là xu hướng mắc bệnh này đang dần trẻ hóa, càng ngày càng có nhiều bệnh nhân trẻ bị mắc viêm nha chu. Theo Ths. Bs. Nguyễn Anh Ngọc - Giám đốc chuyên môn của Nha khoa Bota, nguyên nhân chủ yếu dẫn đến vấn đề này là thói quen ăn uống thiếu lành mạnh, lạm dụng chất kích thích, thuốc lá và vệ sinh răng miệng kém, thêm vào đó là không có thói quen thăm khám nha khoa định kỳ. Tại Nha khoa Bota, ngoài việc hỗ trợ và chữa trị một cách có hiệu quả các ca viêm nha chu cho mọi bệnh nhân, các y bác sĩ cũng luôn tích cực nhắc nhở và khuyến khích bệnh nhân chăm sóc sức khỏe răng miệng.
Các triệu chứng trong giai đoạn đầu của bệnh viêm nha chu thường khó có thể nhận thấy. Nhưng các nha sĩ và chuyên gia nha khoa sẽ luôn là những người đầu tiên chỉ ra chúng. Phần lợi khỏe mạnh thường có màu hồng, chắc chắn và bám đều vào răng, nhưng nếu lợi của bạn có những vấn đề dưới đây thì chắc chắn đây là những triệu chứng của viêm nh- Lợi bị sưng hoặc phồng, lợi có màu đỏ thẫm hơn.
- Có cảm giác lợi bị mềm ra khi chạm vào.
- Chảy máu lợi.
- Bị chảy máu khi đánh răng hoặc khi dùng chỉ nha khoa.
- Cảm giác đau khi ăn nhai.
- Hôi miệng.
- Lợi bị tụt khỏi răng.
Nguyên nhân gây ra viêm nha chu
Những người khỏe mạnh bình thường có hàng trăm loại vi khuẩn khác nhau trong miệng. Hầu hết chúng vô hại và có những vai trò khác nhau trong hệ sinh thái bên trong khoang miệng của chúng ta. Khi bạn không vệ sinh răng miệng đúng cách hàng ngày, vi khuẩn có hại sẽ phát triển và tích tụ trên răng.
Viêm nha chu thường do vệ sinh răng miệng kém. Khi bạn không đánh răng và làm sạch ở những vị trí khó tiếp cận trong miệng, những điều sau đây sẽ xảy ra:
Vi khuẩn trong miệng của bạn sinh sôi và tạo thành một chất được gọi là mảng bám răng.
Nếu bạn không loại bỏ mảng bám bằng cách đánh răng, vi khuẩn sẽ tích tụ khoáng chất trong mảng bám theo thời gian.
Khoáng chất này được gọi là cao răng, sẽ thúc đẩy sự phát triển của vi khuẩn về phía chân răng.
Phản ứng miễn dịch của cơ thể đối với sự phát triển của vi khuẩn này dẫn đến viêm lợi của bạn.
Sự gắn kết của lợi vào chân răng bị gián đoạn theo thời gian và có thể hình thành một túi nha chu (khoảng trống) giữa lợi và chân răng.
Vi khuẩn kỵ khí có hại khu trú trong túi và sinh sôi, giải phóng các chất độc có thể làm tổn thương nướu, răng và cấu trúc xương nâng đỡ.
Bên cạnh vấn đề trên, có những nguyên nhân khác gây ra viêm nha chu có thể biết đến như:
- Hút thuốc lá, là một trong những yếu tố nguy cơ lớn nhất của bệnh viêm nha chu
- Bệnh tiểu đường loại 2
- Béo phì
- Thay đổi nội tiết tố ở phụ nữ (chẳng hạn như khi có kinh nguyệt, mang thai hoặc mãn kinh), có thể làm cho nướu nhạy cảm hơn
- Các tình trạng ảnh hưởng đến hệ thống miễn dịch của bạn, như HIV hoặc bệnh bạch cầu
- Tác dụng phụ của một số loại thuốc làm giảm lưu lượng nước bọt trong miệng của bạn
- Di truyền học
- Dinh dưỡng kém, đặc biệt là vấn đề thiếu hụt vitamin C.
Phòng ngừa viêm nha chu
Viêm nha chu có thể được phòng tránh rất dễ dàng và không ảnh hưởng tới thói quen sinh hoạt cũng như ăn uống của bạn. Việc phòng tránh viêm nha chu chủ yếu tập trung vào loại bỏ mảng bám và vi khuẩn bám trên răng và nướu của bạn.
Thực hành vệ sinh răng miệng đúng cách và thường xuyên
Các chuyên gia nha khoa của bạn sẽ hướng dẫn bạn cách giảm số lượng vi khuẩn trong miệng, liên quan đến việc giữ cho răng và nướu của bạn sạch sẽ. Nha sĩ sẽ cho bạn lời khuyên về cách sử dụng bàn chải và chỉ nha khoa đúng cách, đồng thời có thể giới thiệu các sản phẩm vệ sinh răng miệng khác như nước súc miệng, tăm nước và chỉ nha khoa.
Dưới đây là một số cách để giữ cho răng của bạn khỏe mạnh:
Đánh răng hai lần một ngày với kem đánh răng có fluor.
Cân nhắc sử dụng bàn chải đánh răng điện, có thể hiệu quả hơn.
Dùng chỉ nha khoa ít nhất một lần một ngày để loại bỏ mảng bám.
Đến nha sĩ của bạn ít nhất hai lần một năm để chăm sóc răng miệng.
Không hút thuốc hoặc nhai thuốc lá.
------------------------------------------------------------------------------------
Viêm nha chu là một bệnh lý về răng rất phổ biến với người Việt Nam. Một thực trạng đáng lo ngại là xu hướng mắc bệnh này đang dần trẻ hóa, càng ngày càng có nhiều bệnh nhân trẻ bị mắc viêm nha chu. Theo Ths. Bs. Nguyễn Anh Ngọc - Giám đốc chuyên môn của Nha khoa Bota, nguyên nhân chủ yếu dẫn đến vấn đề này là thói quen ăn uống thiếu lành mạnh, lạm dụng chất kích thích, thuốc lá và vệ sinh răng miệng kém, thêm vào đó là không có thói quen thăm khám nha khoa định kỳ. Tại Nha khoa Bota, ngoài việc hỗ trợ và chữa trị một cách có hiệu quả các ca viêm nha chu cho mọi bệnh nhân, các y bác sĩ cũng luôn tích cực nhắc nhở và khuyến khích bệnh nhân chăm sóc sức khỏe răng miệng.






