Lấy cao răng là gì? Lợi ích của việc lấy cao răng định kỳ
LẤY CAO RĂNG LÀ GÌ? LỢI ÍCH CỦA LẤY CAO RĂNG ĐỊNH KỲ
Lấy cao răng là một phương pháp vệ sinh nha khoa phổ biến tại các phòng khám nha khoa và bệnh viện nha khoa. Phương pháp này giúp loại bỏ cao răng - một chất tích tụ bám trên răng khiến cho răng bạn xỉn màu và gây mất thẩm mỹ, cũng như ảnh hưởng tới sức khỏe răng miệng nói chung.
Cao răng là gì?

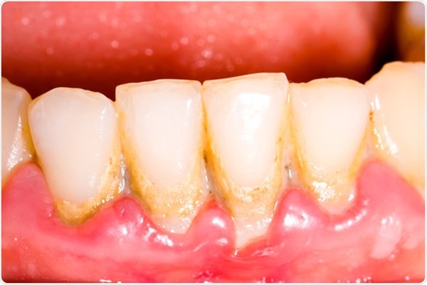
Cao răng - còn được gọi là vôi răng - là sự tích tụ của mảng bám và khoáng chất từ nước bọt của bạn làm cứng lại. Cao răng có thể bao phủ bên ngoài răng và xâm lấn vào bên dưới đường viền nướu. Cao răng cảm thấy giống như một tấm chăn mỏng trên răng. Bởi vì nó xốp, thức ăn và đồ uống có thể dễ dàng làm vấy bẩn cao răng.
Cao răng thường lắng đọng phía sau và kẽ răng, có màu vàng hoặc nâu. Cao răng, và tiền thân của nó, mảng bám, đều có thể tàn phá sức khỏe răng miệng của bạn.
Cao răng và mảng bám có thể gây ra các vấn đề:
Gây hôi miệng, do vi khuẩn tích tụ lâu ngày trên răng.
Phá hủy men răng, lớp cứng bên ngoài của răng, từ đó có thể dẫn đến ê buốt răng, sâu răng, thậm chí mất răng.
Phát triển các bệnh nướu răng.
Ngăn cao răng bằng cách hạn chế mảng bám
Mảng bám răng có thể cứng lại thành cao răng trong thời gian ngắn, đó là lý do tại sao việc chải răng và dùng chỉ nha khoa hàng ngày là rất quan trọng.
- Duy trì đánh răng hai lần một ngày, mỗi lần hai phút.
- Sử dụng bàn chải đánh răng mà bạn cảm thấy thoải mái. Lựa chọn sử dụng bàn chải đánh răng thủ công hay bàn chải đánh răng có hỗ trợ - hay còn được biết đến là bàn chải máy là vấn đề sở thích cá nhân - cả hai đều sẽ loại bỏ mảng bám hiệu quả nếu sử dụng đúng cách và nhất quán.
- Ưu tiên sử dụng bàn chải lông mềm.
- Chải răng vào những góc trong và bao gồm cả lợi của bạn. Đưa góc bàn chải 45 độ để bạn có thể chải vào các góc giữa răng và nướu, nơi mảng bám có thể ẩn náu. Sử dụng bàn chải đánh răng của bạn trên các khu vực mà răng và đường viền nướu.
- Chải răng nhẹ nhàng nhưng kỹ và đầy đủ các vùng khoang miệng.
- Sử dụng kem đánh răng có chứa flo.
- Dùng chỉ nha khoa mỗi ngày một lần.
Một số cách ngăn ngừa việc hình thành cao răng
Loại bỏ cao răng là một thao tác nha khoa yêu cầu sự can thiệp của một nha sĩ chuyên nghiệp nhưng mỗi người hoàn toàn có thể tự áp dụng một số cách đơn ngoài việc đánh răng thường xuyên và dùng chỉ nha khoa - để giảm lượng mảng bám trong miệng và kiểm soát sự tích tụ cao răng. Bao gồm:
- Sử dụng kem đánh răng ngăn ngừa cao răng. Một nghiên cứu năm nha khoa đã so sánh hiệu quả của kem đánh răng ngăn ngừa cao răng với bảo vệ sâu răng, kết quả chỉ ra rằng những người sử dụng kem đánh răng kiểm soát cao răng có gần 35% lượng cao răng ít hơn so với những người sử dụng kem đánh răng có fluor thông thường.
- Sử dụng các miếng dán làm trắng răng: Một nghiên cứu năm 2009 cho thấy những người sử dụng miếng dán làm trắng chứa hợp chất hydrogen peroxide với pyrophosphate hàng ngày trong ba tháng có ít cao răng hơn so với người không sử dụng khoảng 30%.
- Sử dụng trái cây tươi và rau quả: Trái cây tươi và các loại rau củ quả thúc đẩy quá trình nhai kỹ và do đó tiết nước bọt, những thực phẩm này có thể giúp rửa sạch một số vi khuẩn tạo mảng bám trong miệng của bạn. Tương tự với kẹo cao su không đường cũng vậy.
- Sử dụng dung dịch súc miệng: Các dung dịch súc miệng có tính kháng khuẩn và diệt khuẩn rất cao nên có khả năng hỗ trợ việc xử lý các vi khuẩn trong khoang miệng của bạn. Nhưng hãy sử dụng những loại nước súc miệng có hương vị và liều lượng phù hợp để tránh cảm giác rát miệng do tác dụng của tính sát khuẩn.
Hãy để các chuyên gia lấy cao răng khỏi răng của bạn
Vệ sinh răng miệng chuyên nghiệp định kỳ loại bỏ vôi răng tích tụ. Cả nha khoa truyền thống và nha khoa tổng thể ( nơi mà các nha sĩ luôn quan tâm đến sức khỏe tổng thể của bệnh nhân, không chỉ sức khỏe răng miệng của họ) đều có thể thực hiện vệ sinh răng miệng.
Sử dụng máy cạo vôi răng bằng kim loại cầm tay (một thiết bị có đầu giống như móc câu), các nha sĩ của bạn sẽ cạo sạch cao răng. Nếu bạn có quá nhiều cao răng đã gây ra bệnh nướu răng, nha sĩ có thể đề nghị làm sạch sâu bao gồm cạo vôi răng và bào chân răng.
Mảng bám và cao răng được loại bỏ cả trên và dưới viền nướu (trong các túi nơi nướu đã ra khỏi răng).
Trong một số trường hợp, tia laser có thể được sử dụng để tiêu diệt vi khuẩn sâu trong túi nướu.
Lấy cao răng là một phương pháp vệ sinh nha khoa phổ biến tại các phòng khám nha khoa và bệnh viện nha khoa. Phương pháp này giúp loại bỏ cao răng - một chất tích tụ bám trên răng khiến cho răng bạn xỉn màu và gây mất thẩm mỹ, cũng như ảnh hưởng tới sức khỏe răng miệng nói chung.
Cao răng là gì?

Cao răng - còn được gọi là vôi răng - là sự tích tụ của mảng bám và khoáng chất từ nước bọt của bạn làm cứng lại. Cao răng có thể bao phủ bên ngoài răng và xâm lấn vào bên dưới đường viền nướu. Cao răng cảm thấy giống như một tấm chăn mỏng trên răng. Bởi vì nó xốp, thức ăn và đồ uống có thể dễ dàng làm vấy bẩn cao răng.
Cao răng thường lắng đọng phía sau và kẽ răng, có màu vàng hoặc nâu. Cao răng, và tiền thân của nó, mảng bám, đều có thể tàn phá sức khỏe răng miệng của bạn.
Cao răng và mảng bám có thể gây ra các vấn đề:
Gây hôi miệng, do vi khuẩn tích tụ lâu ngày trên răng.
Phá hủy men răng, lớp cứng bên ngoài của răng, từ đó có thể dẫn đến ê buốt răng, sâu răng, thậm chí mất răng.
Phát triển các bệnh nướu răng.
Ngăn cao răng bằng cách hạn chế mảng bám
Mảng bám răng có thể cứng lại thành cao răng trong thời gian ngắn, đó là lý do tại sao việc chải răng và dùng chỉ nha khoa hàng ngày là rất quan trọng.
- Duy trì đánh răng hai lần một ngày, mỗi lần hai phút.
- Sử dụng bàn chải đánh răng mà bạn cảm thấy thoải mái. Lựa chọn sử dụng bàn chải đánh răng thủ công hay bàn chải đánh răng có hỗ trợ - hay còn được biết đến là bàn chải máy là vấn đề sở thích cá nhân - cả hai đều sẽ loại bỏ mảng bám hiệu quả nếu sử dụng đúng cách và nhất quán.
- Ưu tiên sử dụng bàn chải lông mềm.
- Chải răng vào những góc trong và bao gồm cả lợi của bạn. Đưa góc bàn chải 45 độ để bạn có thể chải vào các góc giữa răng và nướu, nơi mảng bám có thể ẩn náu. Sử dụng bàn chải đánh răng của bạn trên các khu vực mà răng và đường viền nướu.
- Chải răng nhẹ nhàng nhưng kỹ và đầy đủ các vùng khoang miệng.
- Sử dụng kem đánh răng có chứa flo.
- Dùng chỉ nha khoa mỗi ngày một lần.
Một số cách ngăn ngừa việc hình thành cao răng
Loại bỏ cao răng là một thao tác nha khoa yêu cầu sự can thiệp của một nha sĩ chuyên nghiệp nhưng mỗi người hoàn toàn có thể tự áp dụng một số cách đơn ngoài việc đánh răng thường xuyên và dùng chỉ nha khoa - để giảm lượng mảng bám trong miệng và kiểm soát sự tích tụ cao răng. Bao gồm:
- Sử dụng kem đánh răng ngăn ngừa cao răng. Một nghiên cứu năm nha khoa đã so sánh hiệu quả của kem đánh răng ngăn ngừa cao răng với bảo vệ sâu răng, kết quả chỉ ra rằng những người sử dụng kem đánh răng kiểm soát cao răng có gần 35% lượng cao răng ít hơn so với những người sử dụng kem đánh răng có fluor thông thường.
- Sử dụng các miếng dán làm trắng răng: Một nghiên cứu năm 2009 cho thấy những người sử dụng miếng dán làm trắng chứa hợp chất hydrogen peroxide với pyrophosphate hàng ngày trong ba tháng có ít cao răng hơn so với người không sử dụng khoảng 30%.
- Sử dụng trái cây tươi và rau quả: Trái cây tươi và các loại rau củ quả thúc đẩy quá trình nhai kỹ và do đó tiết nước bọt, những thực phẩm này có thể giúp rửa sạch một số vi khuẩn tạo mảng bám trong miệng của bạn. Tương tự với kẹo cao su không đường cũng vậy.
- Sử dụng dung dịch súc miệng: Các dung dịch súc miệng có tính kháng khuẩn và diệt khuẩn rất cao nên có khả năng hỗ trợ việc xử lý các vi khuẩn trong khoang miệng của bạn. Nhưng hãy sử dụng những loại nước súc miệng có hương vị và liều lượng phù hợp để tránh cảm giác rát miệng do tác dụng của tính sát khuẩn.
Vệ sinh răng miệng chuyên nghiệp định kỳ loại bỏ vôi răng tích tụ. Cả nha khoa truyền thống và nha khoa tổng thể ( nơi mà các nha sĩ luôn quan tâm đến sức khỏe tổng thể của bệnh nhân, không chỉ sức khỏe răng miệng của họ) đều có thể thực hiện vệ sinh răng miệng.
Sử dụng máy cạo vôi răng bằng kim loại cầm tay (một thiết bị có đầu giống như móc câu), các nha sĩ của bạn sẽ cạo sạch cao răng. Nếu bạn có quá nhiều cao răng đã gây ra bệnh nướu răng, nha sĩ có thể đề nghị làm sạch sâu bao gồm cạo vôi răng và bào chân răng.
Mảng bám và cao răng được loại bỏ cả trên và dưới viền nướu (trong các túi nơi nướu đã ra khỏi răng).
Trong một số trường hợp, tia laser có thể được sử dụng để tiêu diệt vi khuẩn sâu trong túi nướu.






